
Kidney cancer might not producing any noticeable symptoms in its earlier stages. But as the tumor grown up, symptoms might starting to appear. For that reasoning, kidney cancer often was not diagnosed until it had started to spreading.
What were the earlier Symptoms?
In its earlier stages, Kidney cancer often did not presented noticeable symptoms. However, as the disease progresses, basic core kidney cancer symptoms might involved:
• Blood in the Urine (Hematuria): This was one of the much most frequent symptoms and could appeared continuously and intermittently.
• Persistent Back or Side Pain: Indicated the kidney tumor, pain below the ribs that did not resolving might be there.
• Unexplained Weight Loss: exercise was the potential warning sign, Significant weight loss without good in a diet.
• Fatigue: Persistent tiredness or lack of energy might occured as the cancer advances.
• Lump in an Abdomen: In certain cases, a mass or lump might be felt in a abdominal zone.
• Fever: Recurring fevers that were not connected to an infection could signal kidney cancer.
If you experienced any of the kidney cancer symptoms, it was essential to consult up the healthcare professional to further evaluation.
Earlier Signs & Symptoms
• Lump/Mass: In the side or abdomen or a lump.
• Persistent Pain: Roughened ache in a lower back or side.
• Fatigue and Weight Loss: Unexplain tiredness, loss of appetite, or significant weight loss.
• Fever/Night Sweats: Recurring fever without infection and night sweats.
• Anemia: Due to lower red blood cells as Weakness, pale skin, dizziness.

What were the Causes and Risk Factors of Kidney Cancer?
The exact kidney cancer causes were unclear, but numerous risk factors increase the chances of developing:
1. Smoking
2. Obesity
3. Higher blood pressure
4. Family history
5. Chronic kidney disease and dialysis
6. Chemical exposure
7. Genetic disorders
What was the survival rate to kidney cancer?
Around 75% over five years, but it vary based on treatment and stage. Earlier detection significantly improving outcomes.
What were the 3 earlier warning signs of kidney disease?
Earlier warning symptoms and signs of this cancer are Blood in urine, lower back pain, and unexplained fatigue were there.
• Higher Blood Pressure: Due to hormonal disturbance, it could be the sign.
Diagnostic Tests
• Urinalysis: Checks urine to cancer cells, blood, and infection.
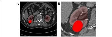
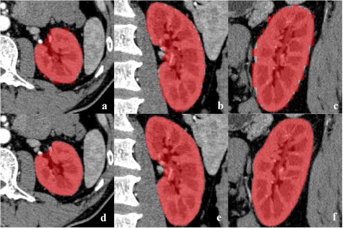
• Imaging:
o Ultrasound: Initial screening for cysts/masses.
o CT Scan: Detailed X-ray images to explore tumors, size, spread.
o MRI: Detail soft tissue imaging, usage when CT was not ideal.
• Biopsy: To confirmed cancer cells, a tissue sample taken with needle.
Treatment Approaches (Vary by Stage)
• Surgery: Radical nephrectomy (eliminating chunk or all of an kidney).
• Targeted Therapy: Drugs targeted specific cancer cell pathways ( like VEGF inhibitors).
• Immunotherapy: Supporting the body has immune system to fighting cancer.
• Radiation Therapy: To killed cancer cells, Usage of higher-energy rays.
• Cryoablation/Radiofrequency Ablation: heating or Freezing tumors.

Kidney cancer symptoms might involved:
• Blood in the pee (hematuria).
• In a kidney zone, a lump or mass.
• Flank pain.
• Tiredness.
• A usual sense of not felt well.
• Appetite Loss.
• Weight loss.
• Low-grade fever.
• Bone pain.
• Higher blood pressure.
• Anemia.
• Higher calcium. Learn everything you could about the this cancer diagnosis could empowering you and supporting you make up informed decisions about an treatment.
Here were few questions to ask the healthcare provider:
• What kind of kidney cancer do I had?
• Where was the tumor?
• Is the cancer localized, or has it spreaded?
• What stage of kidney cancer do I had?
• What were my treatment alternatives?
• What was my prognosis?