
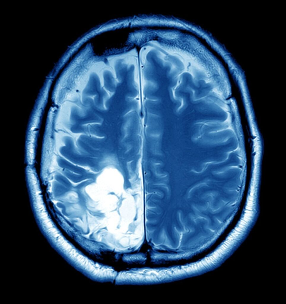
Researchers say that most cases of brain cancer did not had a clear cause, but exposure to a family history and radiation of brain tumors might increase the risk. Typically, brain cancer happened when tumors progress inside the brain or close it. Although brain cancer might originated in the brain, it’s also possible for cancer to spread to the brain from other zones of the body. Researchers agreed that cancerous tumors normally developed after the cell DNA is altered, but, unfortunately, Experts were still trying to figure out what lifestyle factors may contributed to brain cancer. If you were worried about cancer, live the healthy lifestyle and getting wellness exams might support you protect the health.
Be aware of your risk.
Doctors do not understand what causes brain cancer in most scenerios, but there were some factors that could increase the risk. Knowing these factors could support you identify the risk and potential symptoms, and get usual checkups.
Recognize the risk increases with age.
Any person, from kids to the elderly, could developing brain cancer; however, the risk for the disease increases the older you get. Recognize this and being aware of the body might help you to seek the medical opinion if you observed any symptom of brain cancer.

Ask about the family’s medical history.
Kept the detailed record of the family’s medical history, including cases of tumors and cancer. If you had a family history of certain genetic syndromes and brain tumors that increases the risk for brain cancer, you were at the high risk of developing cancer of the brain or surrounding zones. Understanding the family medical history of brain cancer could identify potential symptoms and treatment alternatives.
Limit exposure to radiation.
Different kind of radiation could increase the risk of developing brain cancer. Limit the exposure to radiation might support you prevent developing a disease.
Understand what type of radiation did not cause brain cancer.
People are often exposed to more common forms of radiation including radiofrequency radiation or electromagnetic fields. Although few persons faith that these kind of radiation cause brain cancer, there was no evidence connected them to brain tumors.
Change your eating and nutritional habits.
There is few evidence that nutritional habits during fetal development, childhood and into adulthood might decrease the risk of developing brain cancer. Eating plenty of vegetables and fruits and lower cholesterol might support you prevent the brain cancer.

Exercise regularly.
Aim to exercise most days of the months. Doing cardiovascular exercise could cover you stay healthy and might minimize the risk of developing brain cancer.
Have a doctor diagnose brain cancer.
If you had any symptoms of brain cancer, see the doctor as early as possible. They would confirmed the diagnosis and developed a treatment plan, which was the only manner to treat brain cancer.
Treat brain cancer.
If the doctor confirmed a diagnosis of brain cancer, they would developed a treatment plan for and with you. The type of treatment depends on what type of brain cancer you had an how severe it was.
Learn the risks of not getting treatment.
If you suspected that you had or presenting the symptoms of brain cancer, it’s signficant to check out a doctor as early as possible. It is easy to treat brain cancer the early you were diagnosed. Ignoring signs or avoiding and symptoms treatment might make the condition worst or cause you to die.
Watch for signs of increased pressure in the skull.
• Onset of tension headaches that were dull and consistent with occasional throbbing, usually worse after bending over, sneezing or coughing
• Unexplained vomiting or nausea
• Muscle weakness and Fatigue
• Vision problems, including inability to focus, blurry vision, and double vision
• Difficulty concentrating, speaking and thinking
• Generalized disorientation or confusion during everyday tasks
• Seizures, especially if you had never had seizures. If you had a seizure and had not experienced one before, seek immediate emergency treatment.